祝贺!广西瑞康医院陈广琴教授在首款国产ICE下成功完成一例房颤脉冲消融手术
南京西格玛医学
近日,广西中医药大学附属瑞康医院陈广琴教授团队在首款国产心腔内超声TINGSN Sonic Eyes 10和TINGSN FINDERS 1引导下为一名阵发性房颤患者顺利实施房颤脉冲消融手术(PFA)。患者预后良好,临床效果优异。
TINGSN Sonic Eyes 10是霆升科技自主研制的首款国产心腔内超声导管。通过心腔内超声成像系统,术者可从内部观察心脏及邻近组织、实时监测术中并发症。患者无需全麻,没有X射线辐射,并对该技术有良好的耐受性。故心腔内超声是一种绿色、安全、高效的超声影像方式。
该例手术是TINGSN Sonic Eyes 10上市后的全国首批应用,这标志着首款心腔内超声取得了阶段性的发展,也推动了心脏介入治疗的精准度和效率,惠及更多的医疗工作者和患者!

瑞康医院陈广琴教授团队
手术概况
患者基本情况
男,64岁,阵发性房颤史1月余,左室射血分数61%,其它病史:高血压2级,2型糖尿病。
术者评估
基于对患者的检查结果,考虑到患者年龄并患有高血压及糖尿病,经陈广琴教授的严谨术前评估、慎重考虑并和患者及家属的充分沟通后,为其实施TINGSN Sonic Eyes 10引导下的房颤脉冲消融手术。
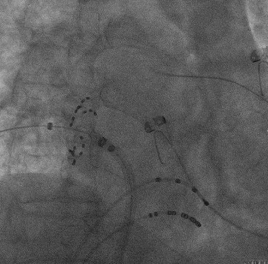
手术过程
TIGNSN Sonic Eyes 10指导下,行房间隔穿刺,脉冲消融导管沿可调弯鞘管进入左房,测量基线阻抗后,依次将脉冲消融导管送入左上肺静脉、左下肺静脉、右上肺静脉、右下肺静脉四个肺静脉口部与前庭实施脉冲电场消融。术中采用脉冲电场消融自身标测电极进行电位标测,消融即刻及消融结束后四根肺静脉电位消失并双向传导阻滞,ICE确认心包正常,结果达到手术预期效果,手术顺利结束。

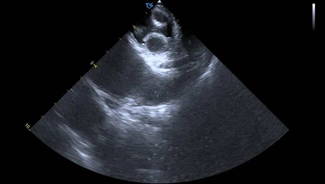
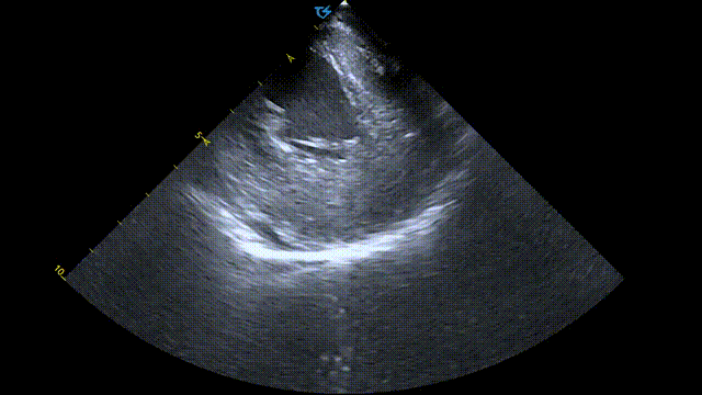
术前ICE左房血栓筛查
ICE引导下房间隔穿刺:

术中ICE指引导丝到上腔静脉

ICE直视下进行房间隔穿刺

穿刺后打水确认
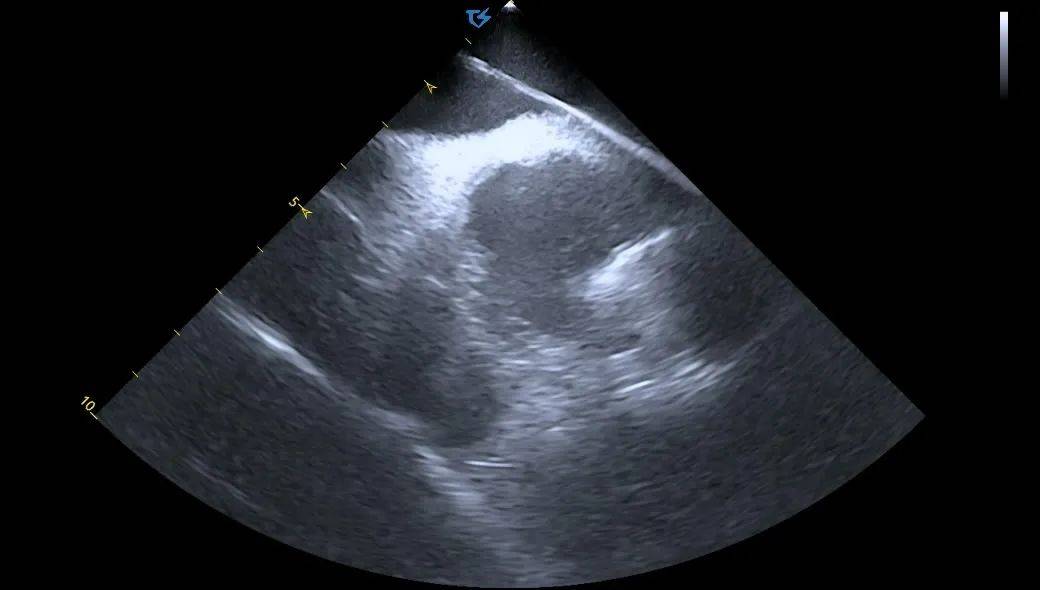
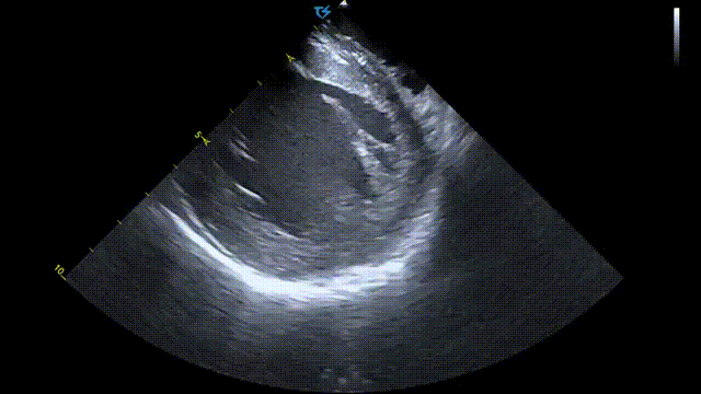
ICE引导消融导管位置:

血流模式确认左上肺静脉

血流模式确认左下肺静脉
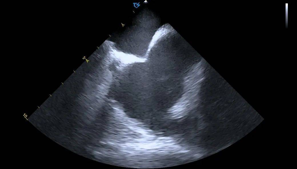
LSPV消融:

LSPV口内消融_ICE直视下脉冲导管以网篮形态与肺静脉贴靠

LSPV前庭消融_ICE直视下,显示脉冲导管以花瓣形态与肺静脉贴靠

LSPV消融前电位

LSPV消融后电位
ICE直视下,CP导管呈现网篮形/花瓣状贴靠在左上肺静脉,并可观察到导管进入肺静脉的深度&贴靠情况
LIPV消融:

ICE直视下,PFA导管进行左下肺静脉贴靠消融

LIPV消融前电位

LIPV消融后电位
RSPV及RIPV消融:

RSPV口内消融

RSPV前庭位置消融

RSPV消融前电位

RSPV消融后电位

RIPV口内消融

RIPV前庭位置消融

RIPV消融前电位

RIPV消融后电位
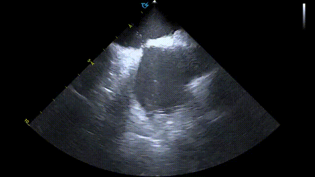
术前术后心包对比:

术前心包基线扫描

术后心包检查
术后总结
本次手术是在霆升心腔内超声指导下进行的脉冲消融手术。由于ICE提供的是实时且高清的图像,一方面可以清楚直视房间隔的位置,对于房间隔穿刺有很大的优势,另一方面术中医生可以实时观察到脉冲导管在肺静脉口部及前庭贴壁的情况,并且能实时监测到可能的并发症,如心包积液,从而显著减少了对放射线的需求。两者结合后,ICE指导下脉冲电场消融有望引领房颤消融进入新阶段。
心腔内超声诊断导管
产品名称:一次性使用心腔内超声诊断导管
产品型号:TINGSN Sonic Eyes 10
产品简介:本品是NMPA创新医疗器械,是NMPA 唯一获批的国产心腔内超声诊断导管,它的上市标志着我国在高端医疗器械研发方面取得了卓越的成果,打破了进口产品近20年垄断市场的局面,是我国超声领域的重大里程碑。本产品能够实时清晰显示心脏结构,有助于理解心脏内各部位之间的解剖关系,可应用于指导各种心脏介入手术、监测术中相关并发症。产品采用64阵元相控阵探头更适用于心腔内超声诊断;分段设计,头端圆润降低导管头端对脏器组织的伤害风险,远端柔软便于打弯及输送;四向控弯设计,360°观察心脏结构;特有的温度监测装置,对探头温度实时监测,减少手术中因超温引起的伤害风险。

便携式彩色超声诊断仪
产品名称:便携式彩色超声诊断仪
产品型号:TINGSN FINDERS 1
产品简介:本产品采用15.6寸高清液晶显示器,搭载的软件具有14项图像后处理功能,10项成像模式,使超声图像更清晰准确。本产品主机重量小于5千克,巧妙把手设计,轻巧便携。产品配合本公司的“一次性使用心腔内超声诊断导管”能够实时清晰显示心脏结构,可应用于指导各种心脏介入手术、监测术中相关并发症。本品创新连接设计,显著的对准标识及锁定保护,和导管连接更加便捷可靠。

关于霆升科技
霆升科技聚焦超声在心脏电生理和结构性心脏病方向的技术创新,通过成像、标测、消融能量的联合应用,立志于让更多心脏疾病患者获得更有效的治疗。公司自主研发产品“一次性使用心腔内超声诊断导管”于 2023年11月获得注册证,本品成为国内首款自主研发并获批的高端心腔内超声诊断导管。同年12月可配套使用的“便携式彩色超声诊断仪”获批。
目前,霆升科技也已完成实时三维心腔内超声导管(4D ICE)的研发,并成功完成全球第三款商业化心腔内超声ASIC芯片的研发与制造。这款ASIC芯片可用于心腔内超声与经食道超声相关探头设计与集成,是中国第一款亦是现今国内唯一一款具备自主知识产权的心腔内超声专用商业化ASIC芯片。霆升科技的实时三维心腔内超声(4D ICE)产品预计将于今年正式投入临床使用。
未来,让我们共同期待TINGSN Sonic Eyes 10这款国产心腔内超声导管以及更多的优秀国产创新器械能够进入国内外更多医院大放异彩,为全球心脏疾病患者的健康保驾护航!


南京西格玛医学技术股份有限公司(SIGMAMED),地处南京,辐射全国。西格玛医学是一家专业从事医疗器械临床研究的创新型CRO,证券代码:873450,致力于为医疗器械提供临床试验专项服务、临床研究、方案撰写、统计分析、数据管理、监查、器械SMO、受试者招募、第三方稽查和注册申报的整体解决方案。自2009年成立至今,多年评选为江苏省高新技术企业,江苏省医疗器械协会会员,通过ISO9001质量体系和多家国内外企业现场认证,和苏州大学,东南大学、南京医科大学成立联合工作站。西格玛医学已成功为国内外近百家客户提供专业技术服务,成功完成医学方案设计撰写、统计、稽查、临床试验、注册申报等,并建立长期稳定的合作关系。涉及主要的20余个治疗领域,骨科、眼科、肾内、护理、整形美容、IVD、心内科,心外科,皮肤科,普外科等,与全国25个省份近千家医院开展合作,并在国内主要省市设立工作站,与全国80%的临床试验机构密切合作,拥有一支中、高层稳定并按照国际标准(ICH-GCP)操作的专业团队,具有完整规范详细的质量体系和标准操作规程(SOP),成功完成医疗器械Ⅱ、Ⅲ类产品临床试验1000余个。项目多次通过国家局、省局核查和外部公司审核和稽查。为更好服务方便客户,我们特别开设了上海南格、西安分公司服务客户